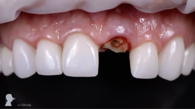
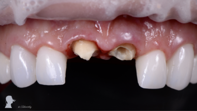
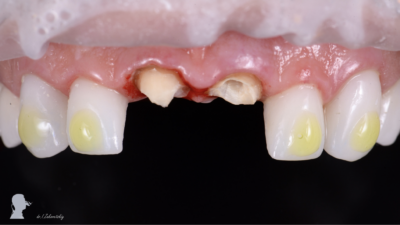
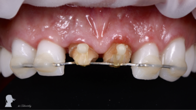
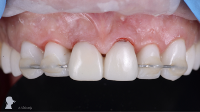
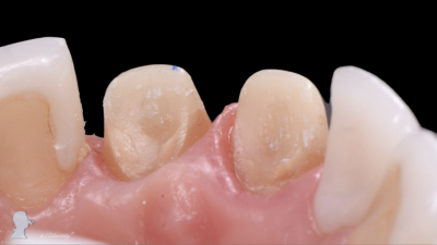
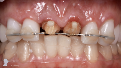
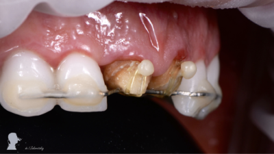
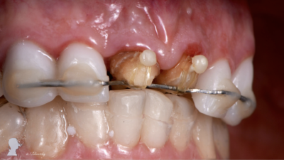
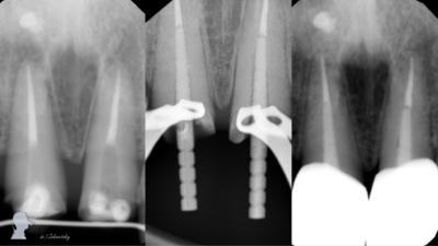
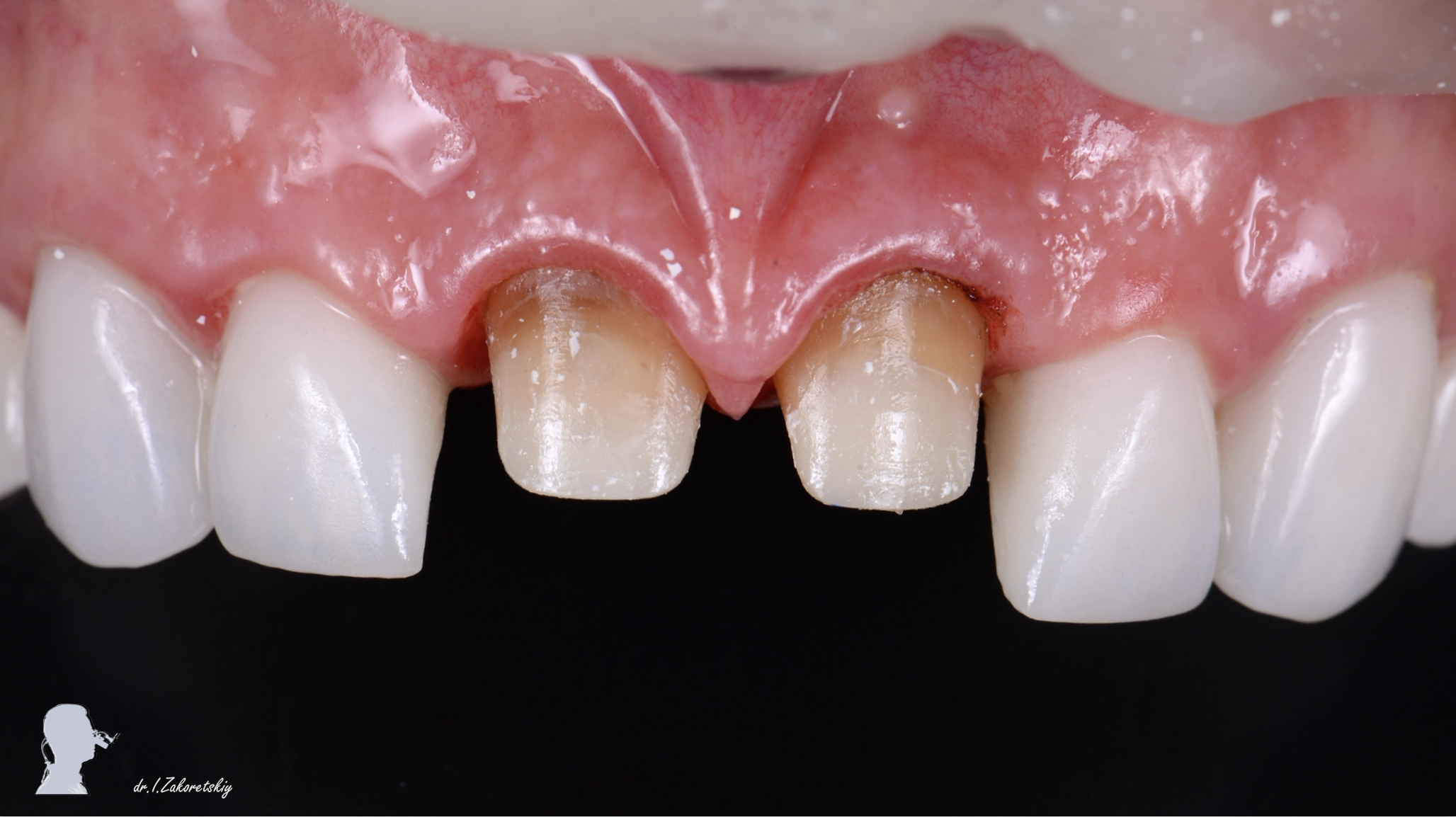
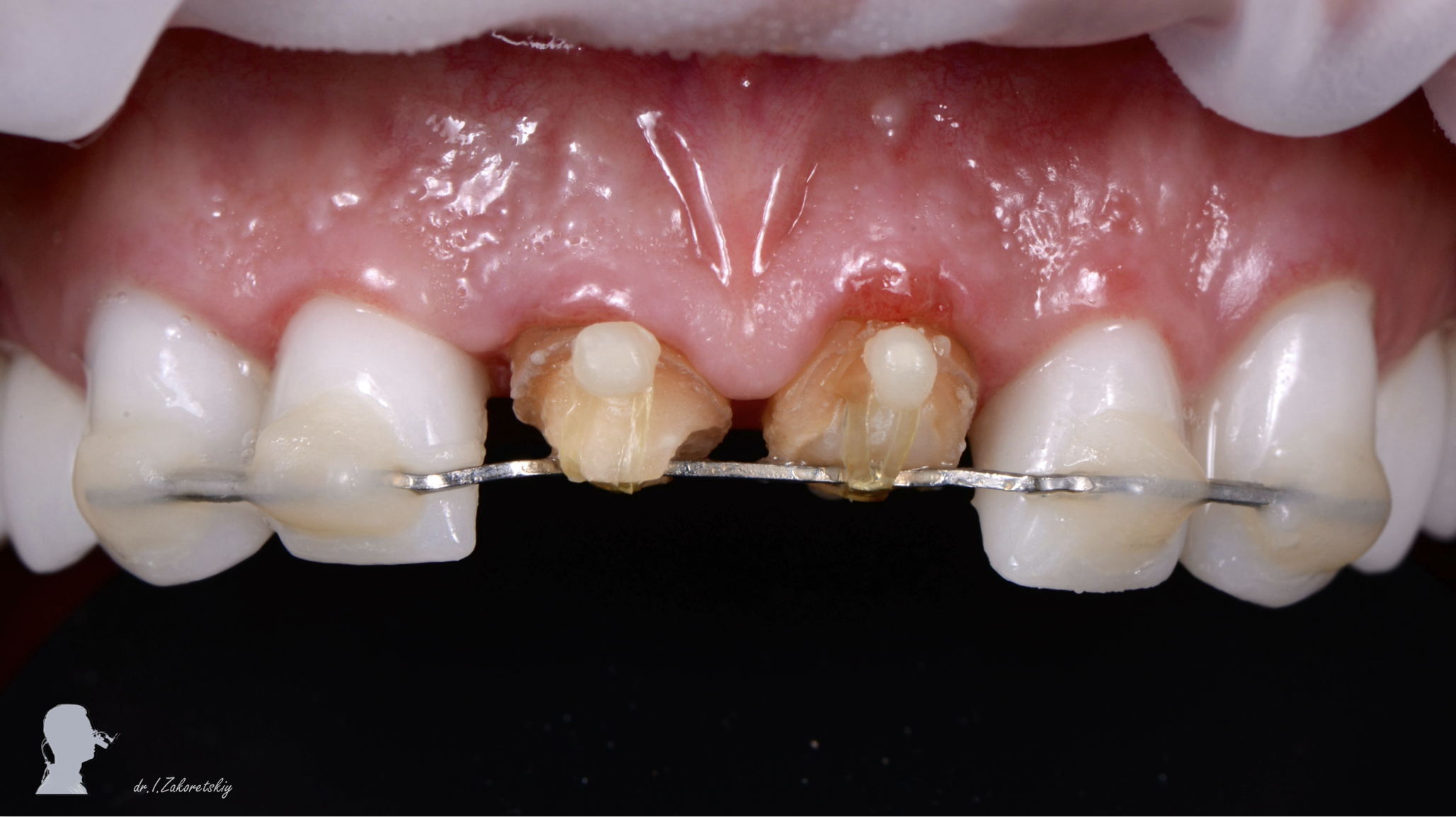
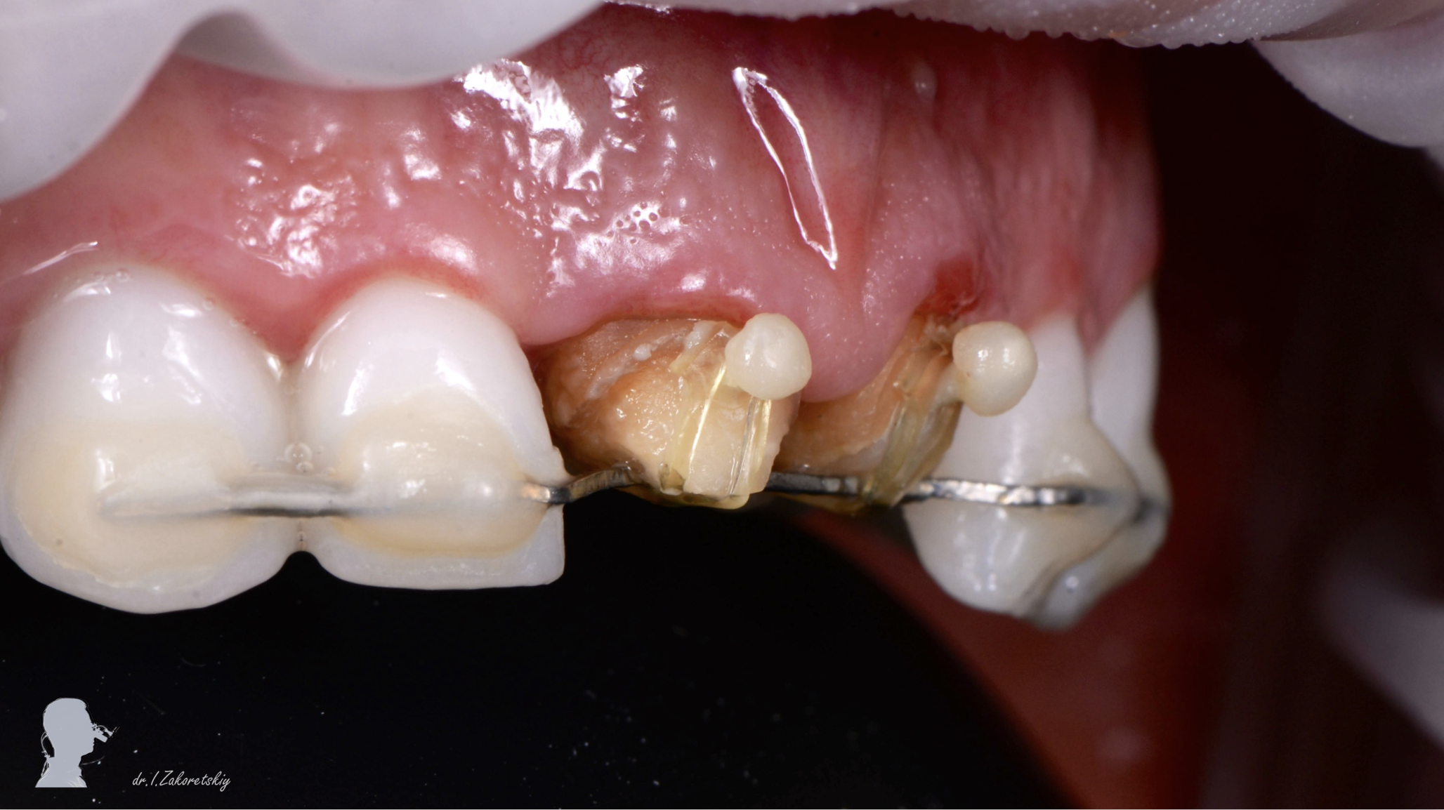
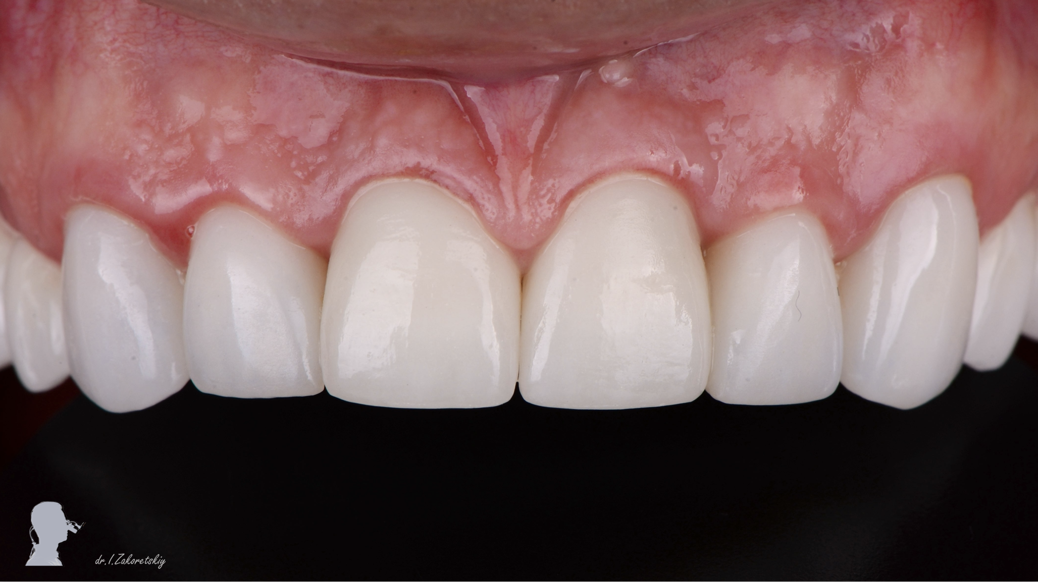
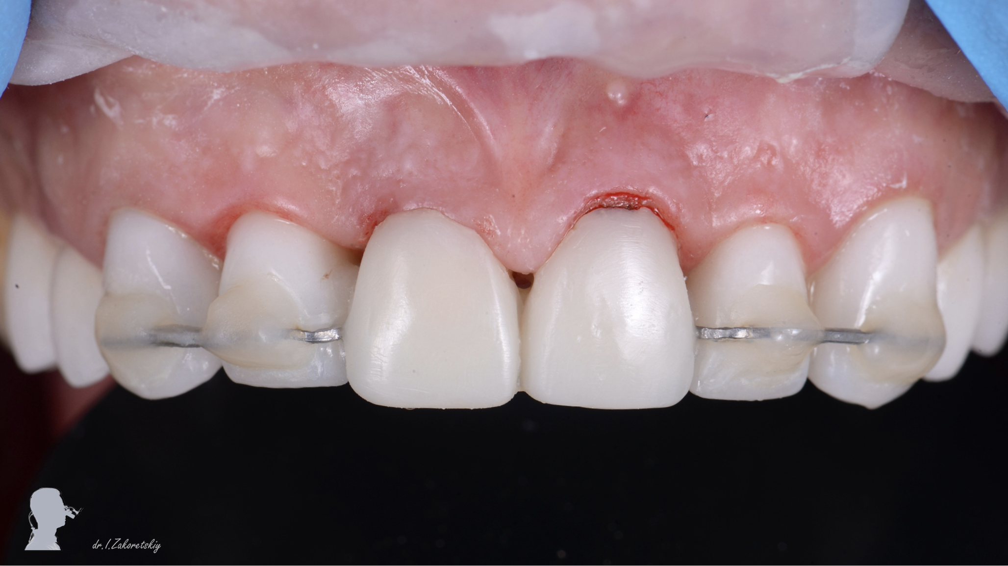
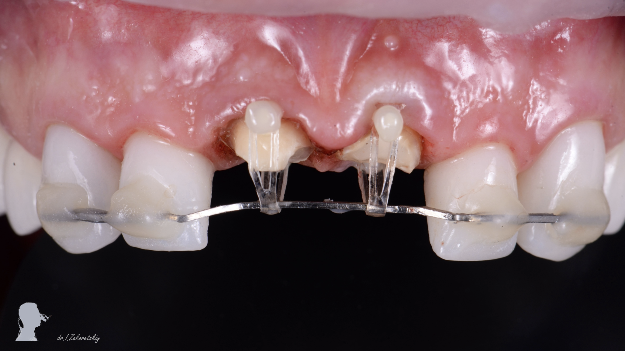
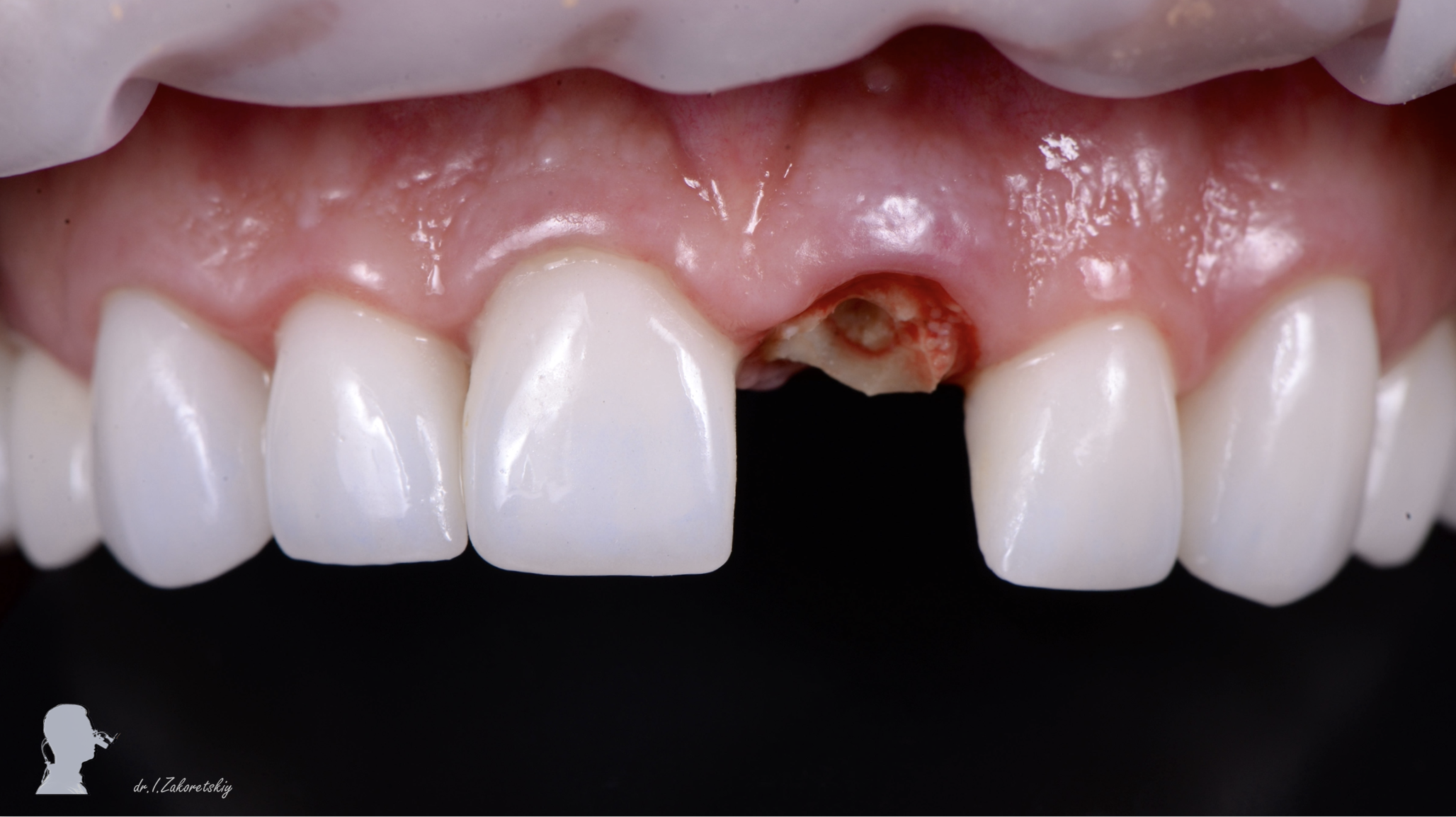
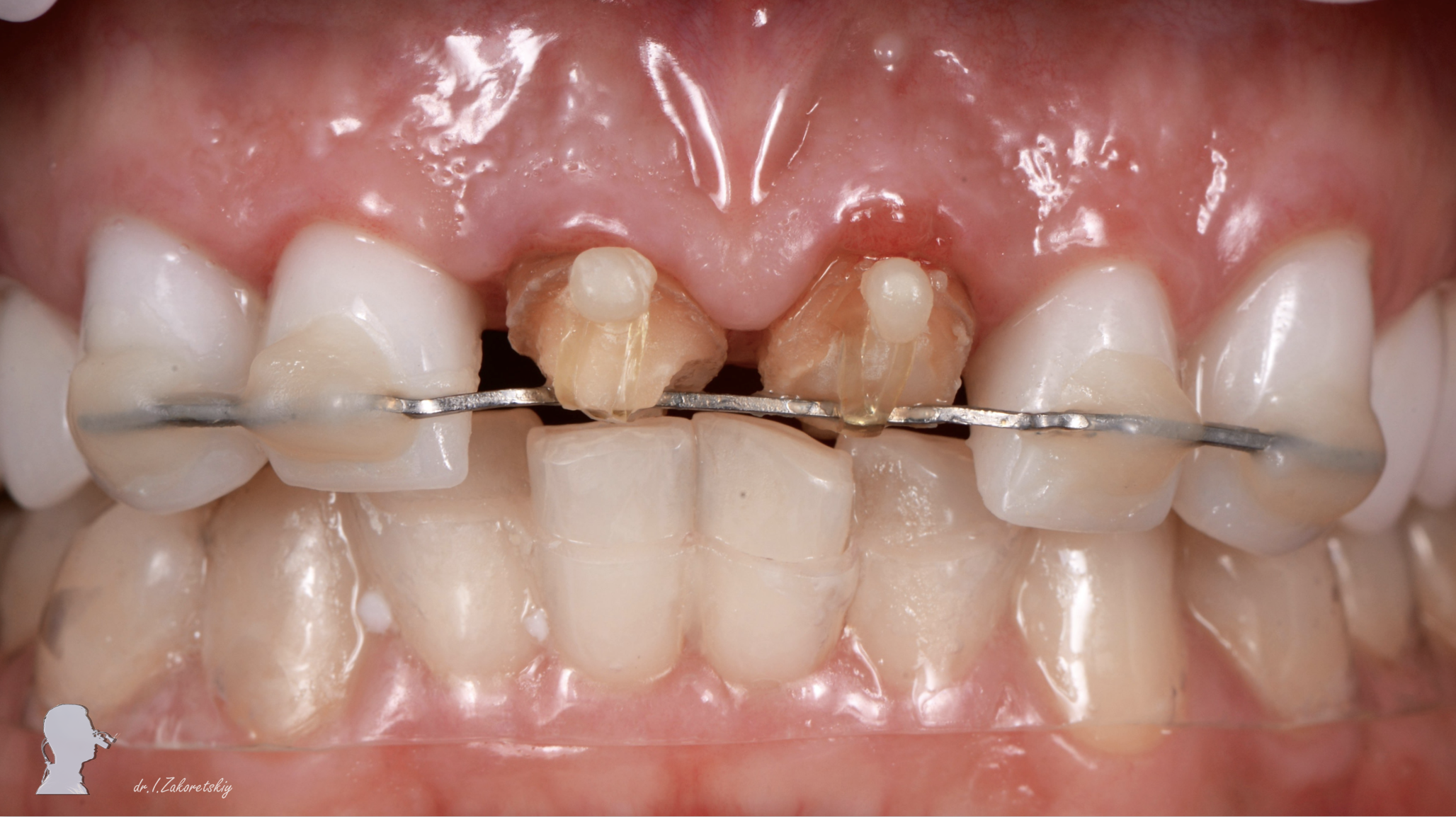
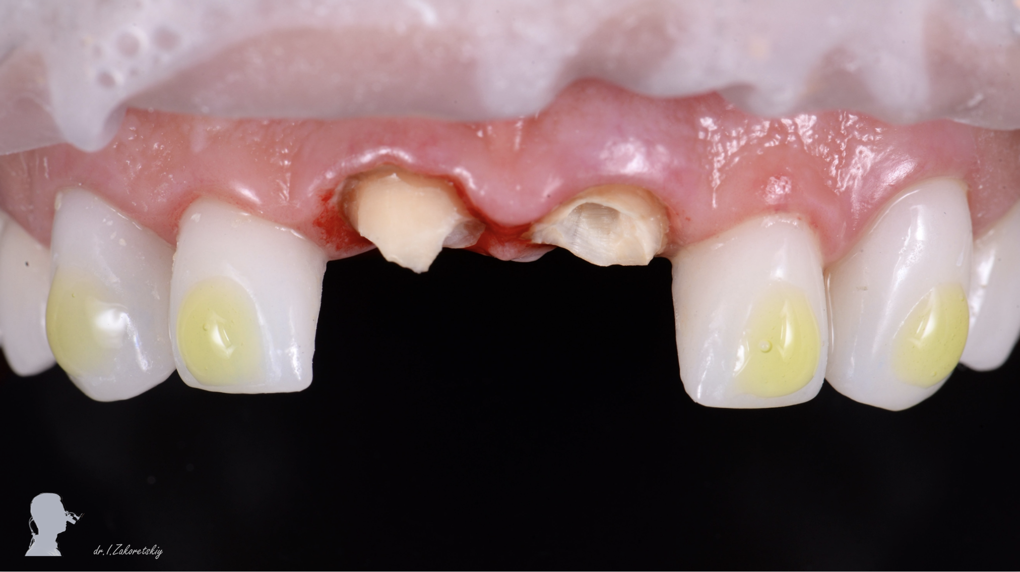
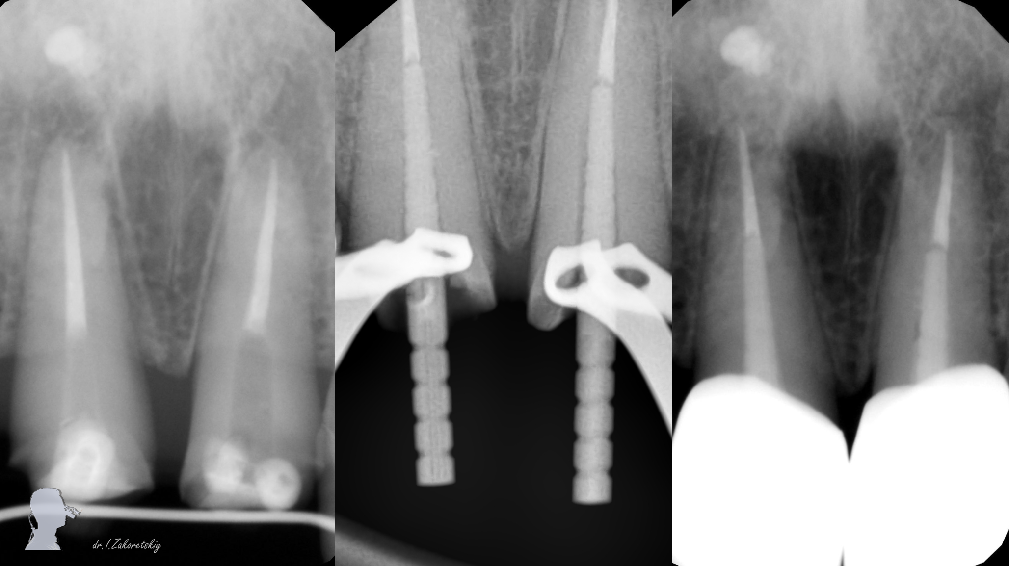
CORECEM – композит двойного отверждения для фиксации волоконных штифтов и восстановления культи устраняет один адгезивный слой и создаёт прочный моноблок.
ПРЕИМУЩЕСТВА
• Использование CORECEM для двух этапов одновременно: для фиксации штифтов и наращивания культи.
• Создаёт прочный моноблок без использования адгезива.
• Высокая рентгеноконтрастность облегчает диагностику при удалении штифта.
Свойства:
Абсорбция воды (7 дней, 37°С): 20 мкг/мм3
Растворимость (7 дней, 37°С): 0,00 мкг/мм3
Линейная усадка при полимеризации: < 0,8%
Прочность на изгиб: 140 МПа
Прочность на сжатие: 350 МПа
Рентгеноконтрастность: > 200% Al
Оттенок: А1 VITA®
Общее содержание наполнителя: 66% массы






































Уханов Михаил –
Мне понравился этот цемент тем, что он текучий, контрастный по цвету, удобная упаковка, плотный и твердый после полимеризации.